Paso 1: diagnóstico

Lo primero que va a suceder es una suite completa de herramientas de diagnóstico. Estos están dejando el médico sabe lo que está mal con usted y cómo pueden llegar mejor. Estos suelen ser una combinación de métodos tradicionales (presión arterial, temperatura corporal, descripción sintomática del paciente), y tal vez alguna fantasía pantalones futurista tecnología (resonancia magnética, radiografía, tomografía, etc.)
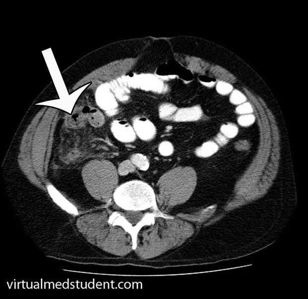
Cuando fui a la sala de emergencia, I descrito mis dolores de estómago al doctor, tiene una TC y muy rápidamente se le diagnosticó una ruptura del apéndice.