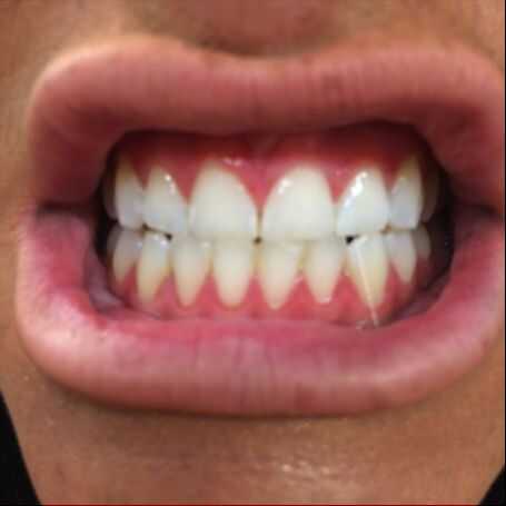
Cómo blanquear los dientes con materiales comunes del hogar (6 / 9 paso)

Paso 6: Alinee los dientes uniformemente

Comience a cepillar la parte superior e inferior 6 dientes al mismo tiempo durante aproximadamente 1 minuto.
PRECAUCIÓN: Trate de evitar las encías pero no quemará o hacerte daño.
ADVERTENCIA: Hacer no trago

Artículos Relacionados

Prótesis hechas con materiales comunes del hogar

Prótesis hechas con materiales comunes del hogar

en países del tercer mundo, es difícil conseguir buena o decentes incluso materiales médicos. ¿Qué pasa si usted ha sido herido en un terrible accidente donde pierde una pierna? Es bien que se vende tu casa o tienes que ser atado a una silla de rueda
Hacer un molde de silicona de materiales comunes del hogar en su cocina en 1 hora

Hacer un molde de silicona de materiales comunes del hogar en su cocina en 1 hora

Sacar de este brillante ' ible he comenzado hacer moldes de silicona baratos y pensamiento compartir. Esto es increíblemente sencillo y rápido y puede ser utilizado para un montón de ideas de casting...Aquí está el podcast que hice en él:Las instrucc
Cepillarse los dientes con una botella de Jack (Jack Daniels cepillo de dientes)

Cepillarse los dientes con una botella de Jack (Jack Daniels cepillo de dientes)

¿Te despiertas en el mornin' Feelin ' como P-Diddy?¿Agarra tus gafas y funcionar hacia fuera la puerta para golpear la ciudad?Antes de salir vas a tener que cepillar los dientes con una botella de Jack.Porque al salir por la noche, está no va a volve
Cómo cepillarse los dientes con chocolate para untar

Cómo cepillarse los dientes con chocolate para untar

¿qué necesitamos?1. un cepillo de dientes2. chocolate para untar3. unos dientes suciosPaso 1: Tomar el cepillo de dientes en la mano con que se escribePaso 2: Preparar el cepillo de dientes con un chocolate para untar Tenga cuidado!demasiado el choco
Control de las pulgas naturalmente con artículos comunes del hogar

Control de las pulgas naturalmente con artículos comunes del hogar

Temporada de pulgas se nos viene encima. Si alguna vez ha tenido una infestación, sabes que tienes que combatir las pulgas desde muchos ángulos para controlar y eliminar estas plagas parasitarias hopping, oportunistas. Uno de los más poderosos agente
Arco iris pulsera de telar sin arco iris telar con objetos comunes de hogar

Arco iris pulsera de telar sin arco iris telar con objetos comunes de hogar

así que compré una bolsa de estas bandas de goma que viene con un gancho, broches y las bandas, pero ningún telar real arco iris de colores. No vienen con instrucciones y no sé que necesitas un telar para hacer este tipo de pulsera, pero había visto
¿Hidroponía simple hecha de materiales simples del hogar

¿Hidroponía simple hecha de materiales simples del hogar

que siempre quisiste crecer algo dentro? Bueno este proyecto hidropónico es una buena manera de empezar! Usted puede pensar de hidroponía como de bombas y productos químicos relacionado con tanques. Bueno esto es solo un contenedor, toallas de papel
Ballesta de objetos comunes del hogar

Ballesta de objetos comunes del hogar

este es mi 1er instructable para no esperar instrucciones increíbles. Este instructable muestra cómo hacer una ballesta de objetos comunes. La ballesta puede disparar hasta 10 pies. enfermo sólo advierto que las imágenes son brillantes.Paso 1: partes
Cómo cepillar los dientes de su perro

Cómo cepillar los dientes de su perro

mientras que los perros rara vez obtienen cavidades, placa y sarro en los dientes de su perro pueden llevar a problemas serios. Enfermedad de las encías puede ser dolorosa y causar pérdida de dientes, pérdida de masa ósea, mal aliento e infección. La
Brillante, brillante de los dientes de diosa

Brillante, brillante de los dientes de diosa

este instructable le mostrará cómo blanquear sus dientes con fresas!Paso 1: fuentes dePaso 2: SMASH Puré de las fresas en un recipiente.Paso 3: Bakin Soda Añadir bicarbonato a la mezcla. Aproximadamente 1 cucharadita.Paso 4: diente Aplique la mezcla
Hacer el molde de los dientes para los dientes Halloween

Hacer el molde de los dientes para los dientes Halloween

aquí es cómo hacer un modelo de los dientes para enviar a un fabricante de dientes personalizado.Paso 1: Obtener materiales recibí la mayor parte de mis materiales de pintura de la perla en Canal Street... que es en Nueva York, pero probablemente ust
Chirriar los dientes

Chirriar los dientes

Este instructable fue creado en cumplimiento de la exigencia de proyecto de la Makecourse de la Universidad de South Florida (www.makecourse.com).El objetivo de mi proyecto es crear un sistema sensible de voz o el ruido de los dientes utilizando un A
Escultura de hada de los dientes

Escultura de hada de los dientes

Me encanta "Cómo a Train Your Dragon". Desdentado es uno de mis favoritos dragones, y estaba super emocionado de tener la oportunidad de hacer mi propia hada de los dientes para agregar a mi colección de dragones.Paso 1: fuentes deAquí es lo que
Maquillaje de Zombie con articulos para el hogar

Maquillaje de Zombie con articulos para el hogar

este tutorial le muestra cómo conseguir un look de zombie bueno sin usar nada ya no tienes!Para este maquillaje necesitarás:-una paleta de sombra de ojos-labios rojos-Fundación-q-tips-tejido-arte/papel/elmers pegamento-miel-colorante rojo y verde-cac