Paso 9: consejos


Debería ver resultados inmediatos después de la primera semana y luego un gradual cambio en los próximos meses de la pareja.
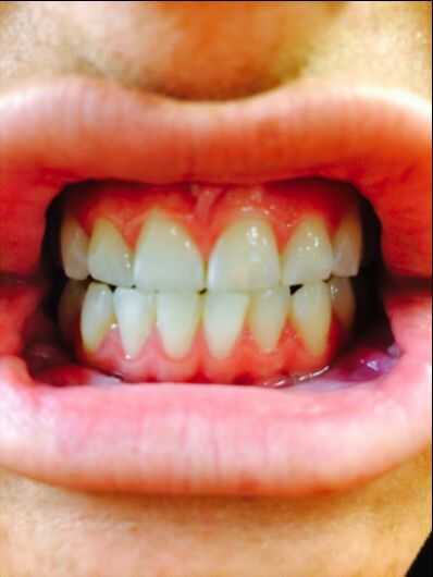
PS. los conjuntos de los dientes son diferentes porque este Instructable fue una tarea del colegio. La primera foto es mis propios dientes, el segundo es un amigo que ha estado utilizando estos ingredientes en sus dientes hace unos dos meses.













