



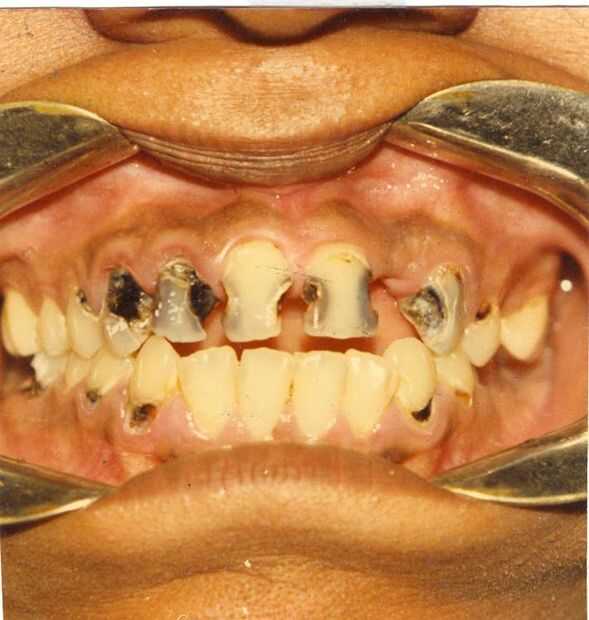
Esta enfermedad se inicia, más comúnmente, por una bacteria conocida como estreptococo mutans. Bacteria crece en una matriz pegajosa llamada placa. La mejor manera de prevenir esta enfermedad es mediante la extracción manual de la placa y las bacterias de la superficie del diente; evitando el desafío ácido de las bacterias que se disuelve la estructura del diente. Tarda un promedio de veinte y cuatro horas para una superficie del diente que daño de la bacteria sentado en él. Eliminación de la placa se recomienda por la mañana y antes de acostarse.
Hay poblaciones que son incapaces de limpiar sus dientes correctamente debido a diferentes discapacidades. Esto puede incluir pérdida de la función en las manos o pérdida de destreza. Esto puede deteriorar la capacidad de la persona para eliminar manualmente la bacteria causante de caries. Dispositivos de asistencia pueden mejorar una habilidad de las personas para eliminar las bacterias y la placa matriz, por tanto, prevenir la caries dental.
Dispositivos que mejoran la salud oral se deben adaptar a la paciente que necesitan ayuda y experiencias de la barrera de la paciente. Los siguientes son ejemplos de maneras de mejorar la salud oral para personas que necesitan ayuda.