
No espero que mucha gente intentará, pero si alguien está tan desesperado mejor no repita errores estúpidos.
En mi caso eso fue arreglo temporal solo por pocas semanas y sobre todo utilizar servicio de dentista habitual.
No todos pueden permitirse reparación dental profesional y gobierno libre servicio subsidiado generalmente es tan mala que más daño que la reparación.
Mi padre perdió unos dientes bien porque los dentistas consideraban demasiado dañado para reparar barato.
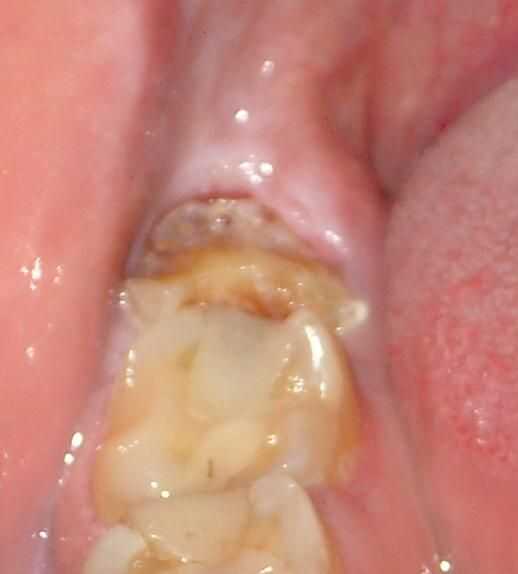
He tenido problemas con mis muelas del juicio puesto que no había nada que perder decidí repararlos yo mismo. Es reparar sólo temporal, hasta que encuentro un dentista para extraerlos correctamente.
Parece que no es tan imposible como puede esperar. sin embargo muelas del juicio son muy difíciles de alcanzar y trabajar así es complicado por lo que la calidad es cuestionable.
Hay 2 opciones para la reparación de dientes, rellenos o coronas, dentistas especialmente baratas están en amor con los rellenos. No duran mucho tiempo y cada reparación hace un daño irreversible.
Coronas son la mejor solución pero de alguna manera bastante caro aunque no hay razón para serlo.
Sorprendentemente, coronas no son tan difíciles de hacer como usted piensa, usted puede encontrar instrucciones de cómo hacer los dientes de vampiro para Halloween y sin modificaciones estos métodos también son utilizables para la reparación del diente.
La única diferencia es que es necesario pegarlos permanentemente.
Grandes presentaciones son mucho más difíciles de hacer por sí mismo. Y también que el riesgo que no se puede quitar en caso de emergencia. No recomendaría limaduras DIY permanentes a menos que tenga taladro dental. Es mejor evitarlos porque incluso profesionales médicos no pueden hacer bien.
presentaciones pequeñas son fáciles de hacer y vale la pena intentarlo.
Descargo de responsabilidad: esto se ve como procedimiento médico, pero técnicamente es no ya que ninguno de estas instrucciones implica cualquier trabajo con carne viva (yo recomiendo solamente reparaciones menores). Sin embargo es posible hacer algún daño, y yo no soy responsable de eso. especialmente si se intenta reparar el daño pesado hay gran posibilidad de que algo vaya mal.
Yo no soy un doctor y con mucho gusto acepto sugerencias o crítico de cualquier dentista.