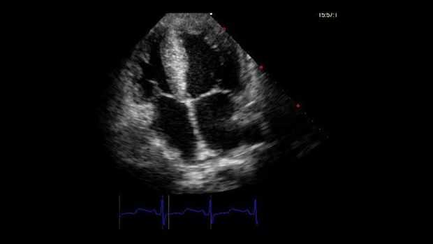
Paso 1: Paso 1: obtener información de entrada del corazón

El marco del programa desarrollado Lee generado solo archivos DICOM (imágenes) exportados desde sistemas de ecocardiografía estándar, automatizar el proceso de transalate estas información en. Archivos STL y enviar el archivo a 3D impresora y del paciente individual expediente médico digital