Paso 3: Paso de fieltro húmedo

Ahora vas a hacer el wet felting... Prepárate tu agua caliente y jabón!
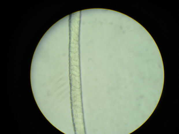
La foto del microscopio es de una fibra de lana solo. Quería que seas capaz de ver lo que está sucediendo cuando usted dunk esa lana en el agua jabonosa caliente. ¿Ver las escalas en la fibra? Son la cutícula de la fibra. El cabello también tiene una cutícula, actúa como tejas en un techo, protege el cabello o en este caso, la lana de las ovejas. Cuando se pone la fibra en el agua jabonosa caliente, la cutícula escamas abren y agarrar a uno con el otro, y como que cool, cerrar, apretar el lazo. Haciendo esto varias veces, junto con agitiation que rompe las fibras, es lo que crea sentido.
(Soy una biografía maestra, por cierto, por lo que es de donde tomé la foto, tienes que amarla cuando escuela y arte se unen)