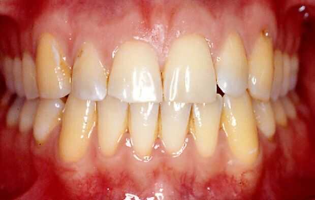
Cómo cepillarse los dientes (1 / 15 paso)

Paso 1:

Asegúrese de que los dientes están sucios

Artículos Relacionados

Cepillarse los dientes con una botella de Jack (Jack Daniels cepillo de dientes)

Cepillarse los dientes con una botella de Jack (Jack Daniels cepillo de dientes)

¿Te despiertas en el mornin' Feelin ' como P-Diddy?¿Agarra tus gafas y funcionar hacia fuera la puerta para golpear la ciudad?Antes de salir vas a tener que cepillar los dientes con una botella de Jack.Porque al salir por la noche, está no va a volve
Cómo cepillarse los dientes con chocolate para untar

Cómo cepillarse los dientes con chocolate para untar

¿qué necesitamos?1. un cepillo de dientes2. chocolate para untar3. unos dientes suciosPaso 1: Tomar el cepillo de dientes en la mano con que se escribePaso 2: Preparar el cepillo de dientes con un chocolate para untar Tenga cuidado!demasiado el choco
Temporizador de 2 minutos de los niños para cepillarse los dientes

Temporizador de 2 minutos de los niños para cepillarse los dientes

Mis hijos siempre cepillar demasiado rápido.Así que ellos hacer un reloj con un botón en la parte superior que cuando empujó will empezar contando de 1s a 120s.Ahora utilizan como su temporizador de 2 minutos.Es un proyecto bastante simple,Si tienes
Cómo blanquear los dientes con materiales comunes del hogar

Cómo blanquear los dientes con materiales comunes del hogar

Paso 1: Materiales que necesitará: Bicarbonato de sodio (puro)Peróxido de hidrógeno (3%)Cepillo de dientes (preferiblemente diferente al que usas diariamente)1 vidrio de mezclaMezcla de herramienta (plata)Una medida de cucharaditaPaso 2: Tomar el bic
Brillante, brillante de los dientes de diosa

Brillante, brillante de los dientes de diosa

este instructable le mostrará cómo blanquear sus dientes con fresas!Paso 1: fuentes dePaso 2: SMASH Puré de las fresas en un recipiente.Paso 3: Bakin Soda Añadir bicarbonato a la mezcla. Aproximadamente 1 cucharadita.Paso 4: diente Aplique la mezcla
Remineralizante de los dientes

Remineralizante de los dientes

cómo llegar a cavidad libre sin el taladro y el dentistaPaso 1: Que yoMe gustaría empezar diciendo que no soy responsable de cualquier lesión o ptoblems que puede ocurrir de que después de este instructable. Lo hace bajo su propio riesgo. No existe s
Disfraz de hada de los dientes fácil

Disfraz de hada de los dientes fácil

Mi marido y yo pasamos muuuucho demasiado en nuestros propios disfraces como hipo y Astrid de cómo al tren su Dragon 2. Necesitábamos a manivela a un disfraz de hada de los dientes de mi niño en pocas horas antes de la gran trick or treat. Esto fue b
Escultura de hada de los dientes

Escultura de hada de los dientes

Me encanta "Cómo a Train Your Dragon". Desdentado es uno de mis favoritos dragones, y estaba super emocionado de tener la oportunidad de hacer mi propia hada de los dientes para agregar a mi colección de dragones.Paso 1: fuentes deAquí es lo que
Cómo hacer una almohada de hada de los dientes

Cómo hacer una almohada de hada de los dientes

una almohada de hada de los dientes que se cierne sobre el pomo de la puerta de su hijo es mucho más fácil para el hada de los dientes a que un pequeño diente escondido debajo de una almohada. Siga estos sencillos pasos para hacer tu propia almohada
Hacer el duende, hada de los dientes o huellas de cualquier carácter pequeñas

Hacer el duende, hada de los dientes o huellas de cualquier carácter pequeñas

¿Quieres hacer que tus hijos creen en cuentos de hadas? Si, usted puede aprender aquí cómo hacer fácilmente pequeñas huellas dejar como "evidencia" de que las pequeñas criaturas, tales como los duendes, el hada de los dientes o cualquier otro pe
Restauración de un cortacéspedes de montar a caballo viejo - y agregar los dientes!!

Restauración de un cortacéspedes de montar a caballo viejo - y agregar los dientes!!

Hay un gran interés en el reciclaje de hoy, sin embargo, una de las formas más descuidadas de reciclaje permite que equipos antiguos simplemente se deterioran y desaparecen.  Una de mis actividades favoritas es encontrar algo viejo y descuidado y res
Almohada de hada de los dientes

Almohada de hada de los dientes

Una almohada de hada de los dientes es una divertida manera para que los niños a saludar al hada de los dientes! Coloque el diente en el bolsillo del diente en la parte delantera de la almohada y el hada de los dientes lo reemplazará con su regalo.De
Cómo cepillar los dientes de su perro

Cómo cepillar los dientes de su perro

mientras que los perros rara vez obtienen cavidades, placa y sarro en los dientes de su perro pueden llevar a problemas serios. Enfermedad de las encías puede ser dolorosa y causar pérdida de dientes, pérdida de masa ósea, mal aliento e infección. La
Hada de los dientes, la marioneta de la felpa rugiendo

Hada de los dientes, la marioneta de la felpa rugiendo

este es el segundo proyecto del curso de ciencia computadoras cosas que pensar en la primavera de 2012 en la Universidad de Colorado, Boulder. El objetivo de este proyecto era crear un peluche que también se utiliza computación de alguna manera. El e